Oral Surgery
Our team of dentists practice dental and oral surgery from more simple cases to more complex. If necessary, you will be referred to an oral surgeon for more serious cases. We proceed according to clinical and radiological assessments, as well as by the patient’s medical history. Careful attention is given to adjacent tissues and structures.
We surgically treat different disorders, wounds, diseases or defects that relate to the gums, the teeth and jaw bone such as, wisdom teeth extraction, gum grafting, bone reconstruction and sinus lift, and more.
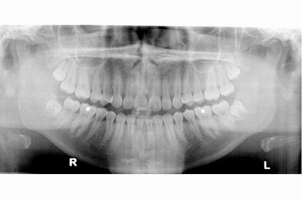
Wisdom teeth
The extraction of wisdom teeth is one of the procedures that are done regularly. The 3rd molars, commonly called wisdom teeth are often useless for chewing. Due to a lack of space in the mouth, these teeth grow only partially or remain in the gums, which in some patients can cause complications. Your dentist will advise you if surgery is required.
10 post operative suggestions:
After a minor oral surgery, pain, bleeding or swelling can occur. Proper care will help you heal quickly and properly. It is recommended not to spit out or rinse your mouth for the first 24 hours. The swelling should be at its worst 2-3 days after surgery.
- 1. Do not lay flat. Keep your head elevated and sleep on 2 to 3 pillows
- 2. Keep a gauze pad on the area, make sure to change the pad often
- 3. Apply an ice pack for 20 minutes, remove and repeat
- 4. Do not eat for 4 hours after surgery and do not drink through a straw
- 5. Avoid liquids and hot meals
- 6. Do not rinse or brush your teeth
- 7. Do not over work
The next day:
- 8. Brush your teeth lightly after meals
- 9. Add ½ teaspoon of salt in a glass of warm water and rinse
- 10. Maintain good eating habits. If you have difficulty chewing, drink lots of liquid.