Centre Dentaire IED Implantologie Esthétique Dentisterie Générale Pierrefonds Montréal Quebec Dentistes

Our pride, our faithful patients!

Entrust our highly skilled professionals, and benefit from our advanced expertise.

GUM TREATMENT - GUM DISEASES IN PIERREFONDS & MONTREAL

According to the Canadian Dental Association, gum disease is the most common dental problem in adults. The major gum diseases are gingivitis and periodontitis.

Gingivitis and Periodontitis

Gingivitis is an infection and inflammation of the gums. If not treated, gingivitis progresses and affects the bone infection causing periodontitis. Periodontitis can cause bad breath, bleeding gums, bone loss, mobile teeth and tooth loss.

Gum disease can almost always be prevented by maintaining good oral hygiene, using dental floss, not smoking, and planning regular visits to your dentist for frequent cleanings and examinations screening.

Early detection and early treatment can prevent this problem.

Here’s Gum Disease Symptoms:

.  Bleeding gums, swelling and loose teeth or even bad breath.  


Our dentists will recommend appropriate treatment, provided on site :

  • Planing and curettage: a non-surgical procedures of scaling and deep cleaning  under local anesthesia. Curettage allows scaling located on and below the gumline. Planing smoothes the tooth and removes bacterial debris and diseased tissue.
  • Disinfection during the gum curettage
  • Laser treatment
  • Antibiotics


In more severe cases :

  • A curettage to thoroughly clean the infected areas. This is a surgical procedure that  requires opening the gum before curettage, followed by its closure with sutures. An antibacterial agent may be applied during the recovery period.
  • Bone grafting to restore bone that has been destroyed.
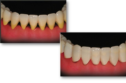
  • Gum graft to restore the loss of gum, but also to counter tooth sensitivity to cold because of exposed roots.

TECHNOLOGY USE

Laser

A laser is an optical electronic system which produces a precise narrow light beam which has a single wave length.

APPOINTMENT REQUEST

4849 Boulevard Saint-Charles H9H 3E4, Pierrefonds, Québec. Telephone: (514) 624-0390 Fax: (514) 624-1140 info@centredentaireied.ca

© 2026 Dental Clinic IED. All rights reserved.